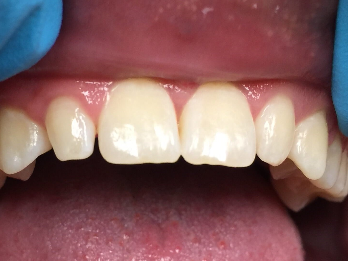
Dr. Camelia Cooper at Sweet Tooth Dental Loft in Frisco, TX, is an expert in creating dazzling smiles with porcelain veneers. This cutting-edge dental procedure can transform uneven, discolored, or chipped teeth into a beautiful, radiant smile. In particular, this patient completed orthodontic treatment to align his smile, but due to his misshapen "peg" lateral incisors, his smile still felt uneven. Veneers were placed by minimally preparing the two misshapen teeth. The patient was thrilled with his new smile! These before and after images reveal the artistry and precision with which Dr. Cooper and her team enhance smiles using porcelain veneers. If you're considering a cosmetic dental change, explore these transformative results and discover how Dr. Cooper can turn your dream smile into a reality at Sweet Tooth Dental Loft!
More